Dra. Crismaryth Ochoa

Odontóloga especialista en estética dental con énfasis en rehabilitación oral, cuenta con más de diez años de trayectoria profesional creando sonrisas que reflejan salud y confianza, a través de un enfoque cercano y personalizado que ayuda a sus pacientes a recuperar no solo la función dental, sino también la seguridad personal al sonreír.

Fundadora y CEO de la marca The Best Smile 

AGENDAR VALORACIÓN

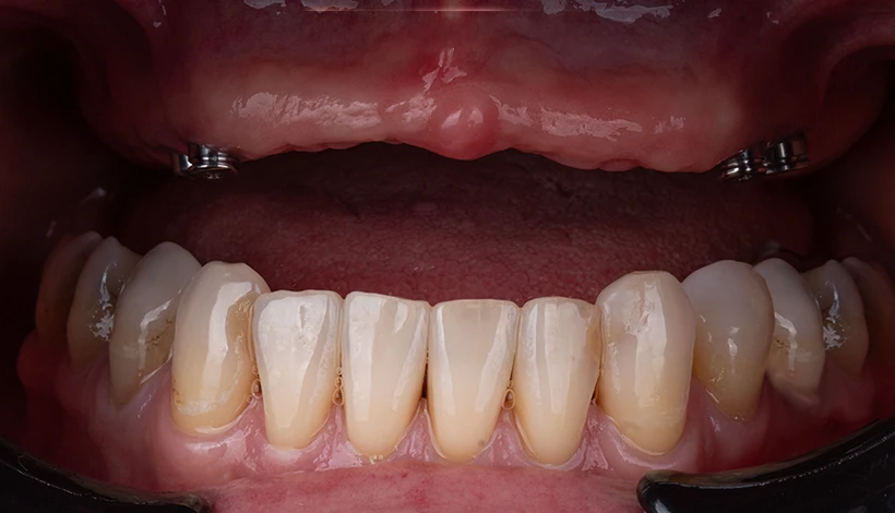
CASOS DE ÉXITO

Transformaciones reales de nuestros pacientes

PROCEDIMIENTOS

CERÁMICA

Es la opción de alta gama. Se trata de un material inorgánico procesado a altas temperaturas que imita perfectamente la translucidez del diente natural.

Tiempo de
procedimiento

7 Días

Duración de
resultados

15 a 20 años

CERÓMERO

Es un híbrido tecnológico; una mezcla de resina con partículas de cerámica. Ofrece un equilibrio entre la economía de la resina y la belleza de la porcelana.

Tiempo de
procedimiento

15 Días

Duración de
resultados

8 a 10 años

RESINA

Es el material más conservador y económico. Se aplica directamente sobre el diente en una sola cita para corregir forma y color de inmediato.

Tiempo de
procedimiento

5 horas

Duración de
resultados

3 a 5 años

Implante (titanio biocompatible con el cuerpo humano)

Tiempo de
procedimiento

2 Fases quirúrgicas de 1 hora
y fase protésica de 24 horas

Duración de
resultados

25 años

Rehabilitación Implantosoportada

Tiempo de
procedimiento

2 Fases quirúrgicas de 1 hora
y fase protésica de 24 horas

Duración de
resultados

25 años

HISTORIAS DE FELICIDAD

La felicidad de nuestros pacientes es nuestra mejor carta de presentación.

EXPERIENCIAS

Conoce los testimonios de nuestros pacientes con los resultados de su sonrisa.

NUESTROS SERVICIOS ODONTOLÓGICOS

Descubre la amplia gama de tratamientos que la Dra. Crismaryth Ochoa ofrece, con especialistas en diferentes áreas

UN ESPACIO DISEÑADO PARA TU CONFORT

Vive una experiencia en nuestro moderno consultorio en Medellín

Estamos ubicados en la Cra. 81 #42 – 55, Simón Bolívar, Medellín


CONTACTA A LA DRA. CRISMARYTH OCHOA

Inicia tu Camino hacia una Sonrisa Espectacular

Llena los siguientes datos y nos pondremos en contacto contigo al menor tiempo.

TESTIMONIOS DE PACIENTES

PREGUNTAS FRECUENTES

 Sí, absolutamente. Comprendemos que viajar para un tratamiento odontológico puede generar dudas. Nuestro equipo está preparado para ofrecerle recomendaciones y asistencia para coordinar su alojamiento y transporte en Medellín, asegurando que su experiencia sea lo más cómoda y fluida posible desde su llegada.

La duración de cada tratamiento varía considerablemente según el procedimiento específico y las necesidades individuales del paciente. Por ejemplo, un blanqueamiento dental puede ser en una sola sesión, mientras que un diseño de sonrisa o la colocación de implantes pueden requerir varias citas. Durante su valoración inicial, la Dra. Crismaryth Ochoa le proporcionará un cronograma detallado y estimado de su plan de tratamiento.

Agendar su cita es muy sencillo. Puede contactarnos directamente a través de nuestro formulario en línea, por WhatsApp al +57 3147971892. Ofrecemos valoraciones personalizadas para entender sus necesidades y diseñar el plan de tratamiento ideal para usted.

Para su comodidad, aceptamos diversos métodos de pago, incluyendo tarjetas de crédito y débito (Visa, Mastercard, etc.), transferencias bancarias y efectivo. Si tiene preguntas específicas sobre financiación o planes de pago, no dude en consultarnos durante su valoración.

La durabilidad de un diseño de sonrisa varía según el tipo de tratamiento y los hábitos de cada paciente. Con un buen cuidado bucal, higiene adecuada y visitas regulares al odontólogo, los resultados pueden durar muchos años. Durante su valoración, la Dra. Ochoa le brindará toda la información y recomendaciones para mantener su nueva sonrisa radiante por mucho tiempo.

sígueme en instagram

TAMBIÉN ME PUEDES SEGUIR EN

MEDELLÍN TE ESPERA

Descubre la Ciudad de la Eterna Primavera

Más allá de tu nueva sonrisa, vive experiencias culturales y naturales únicas en la capital antioqueña.

Explora el Jardín Botánico y el Parque Explora

Sumérgete en la biodiversidad colombiana y la ciencia interactiva. El Jardín Botánico te invita a un oasis de paz con miles de especies de plantas, mientras que el Parque Explora ofrece un acuario gigante y exhibiciones fascinantes para todas las edades. Ideal para una tarde de conocimiento y relajación en plena ciudad.

Recorre el Centro Histórico y la Plaza Botero

Empápate de la historia y el arte de Medellín. Visita la icónica Plaza Botero, adornada con las voluminosas esculturas del maestro Fernando Botero, y explora los alrededores del centro para admirar la arquitectura colonial, iglesias históricas y mercados locales vibrantes. No olvides probar un café tradicional.

Asciende al Metrocable y Visita el Parque Arví

Vive una experiencia única subiendo en el Metrocable, que no solo es un medio de transporte, sino un mirador espectacular. Desde las alturas, podrás apreciar Medellín en todo su esplendor y luego conectar con el Parque Arví, un tesoro natural ideal para caminatas, picnic y disfrutar del aire puro de la montaña.

Disfruta de la Vida Nocturna y Gastronomía en El Poblado

Si buscas vibrar con el ambiente de Medellín, el barrio El Poblado es el lugar. El Parque Lleras y sus alrededores son famosos por sus restaurantes de alta cocina, bares con música en vivo y cafeterías encantadoras. Es el escenario perfecto para degustar la gastronomía local e internacional y disfrutar de la animada vida nocturna de la ciudad.